IMPORTANT NOTICE:
YOUR CARD STATEMENT WILL SHOW AS BLUE GURUZ INC.

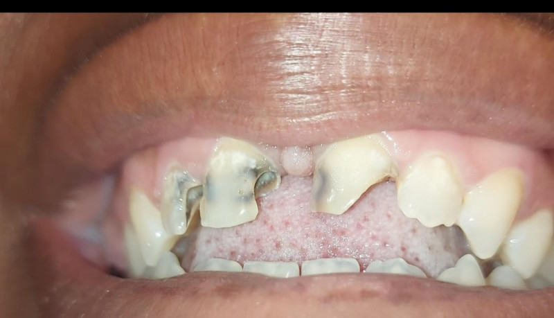
Dental Assistance Request ​Background & Cause. For a long time, I was in a very difficult and controlling personal situation. To avoid conflict and protect myself, I had to hide things I enjoyed, like chewing gum, by keeping it tucked behind my teeth for long periods. This habit, which was a survival tactic at the time, unfortunately led to long-term dental damage that I wasn't able to address back then. ​Current Condition ​Affected Area: My three front teeth are significantly affected. ​Visible Damage: There is a very noticeable cavity that started as a small spot back in 2015 and has since grown. It is much more severe on the back of the teeth than the front. ​Symptoms: While there isn't sharp pain yet, I am experiencing frequent tingling and sensitivity, especially when eating anything sweet. ​Urgency & Goal My main goal is to save these teeth before the decay reaches the point where they can no longer be fixed. Because the damage is in the front, it is becoming more of a concern every day. I’ve attached a photo so you can see the extent of what I’m dealing with. ​Request for Help I am asking for your support with the cost of the dental procedure to repair the cavities and restore my teeth. I want to handle this ASAP before it turns into a more serious medical emergency or requires an extraction.
There are no donations
No results have been found
Charity

Requesting assistance to receive dental care

by Abbie gale
Created Apr 18, 2026 | Port of Spain
$0 raised of $5,000 goal 0%
  • 0 Donations
  • No deadline
  • 0 Likes

Related Campaigns

Take a look at other campaigns in the same category.

Next Level Foundation - Registered Non-Profit Charity host of NLCL Community Cup
Charity
Next Level Foundation - Registered Non-Profit Charity host of NLCL Community Cup

Since 2019, the NLCL Community Cup has continued to provide the largest charitab...

$7 0.01%
raised of $50,000
by Next Level Foundation No deadline
Project 1: Funding for Spaying & Neutering Initiative
Charity
Project 1: Funding for Spaying & Neutering Initiative

Who are we? The Simba-Kai Foundation is a registered NPO in Trinidad and Tobago...

$3,159 45.13%
raised of $7,000
by The Simba Kai Foundation No deadline
My new phone
Charity
My new phone

Hey there, wonderful people! I'm reaching out to you today with an exciti...

$34 0.96%
raised of $3,500
by Kirdell Joshua Joseph No deadline